"노 전 대통령 침 놓은 한의사 누구?"…한의계 '발칵'
- 이혜경
- 2011-05-02 11:19:19
-
가
- 가
- 가
- 가
- 가
- 가
- 한의협, 4일까지 경로·한의사 공개 요청
- PR
- 약국템 브리핑 팜노트 '감기약' 편+이달의 신제품 정보
- 팜스타클럽

누가, 언제, 어떻게 시술했는지에 대한 정보 공개가 이뤄지지 않고 있어 애꿎은 한의사들이 피해를 입고 있다는 것이다.
4월 초 침을 맞았다는 노 전 대통령은 18일 발생한 흉통으로 서울대병원에 입원했다.
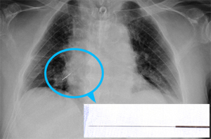
서울대병원은 진료 이후 "한방에서 사용하는 손잡이 부분 2cm를 포함, 전체 길이 7cm의 금속성 침이 발견됐다"고 언급했다.
한의협은 즉시 서울대병원과 노 전 대통령에게 정확한 정보공개를 요구하는 공문을 보냈다.
하지만 서울대병원 측은 지난달 29일 경과 보고 브리핑을 통해 입원 일시, 진료 및 수술 경과 등을 보고 했을 뿐, 침을 놓은 한의사에 대한 언급은 일절 없었다.
이에 한의협은 "서울대병원이 누가, 언제, 어떻게 시술했는지에 대한 핵심내용이 빠진 내용만을 발표했다"며 "국민들로 하여금 한의약에 대한 불필요한 불신과 의혹을 증폭시켰다"고 우려했다.
또 노 전 대통령이 공식 답변을 하지 않고 있는 상황에서 모 일간지 기사에 "노 전 대통령 측근이 한의사 2명에게 치료받았다는 진술을 했다"는 내용이 보도된 상황이라며 불만을 표출했다.
한의협은 "어떤 경로로 어떤 사람에게 어떻게 시술을 받았는지에 대한 명확한 사실을 4일까지 공개해달라"는 공개질의서를 노 전 대통령에게 보냈다.
한의협은 필요 시 노 전 대통령 비서실, 서울대병원, 한의협의 공동조사단을 구성해 철저한 진상조사를 하겠다는 강경한 입장도 전달한 상태다.
한편 서울대병원은 "환편 환자의 병력은 사생활 측면에서 보호돼야 하나 이번 건은 환자 보호자의 동의를 받은 부분만 공개하겠다"며 브리핑 시간에도 "정확히 모르고 말할 수 있는 입장이 아니다"는 반응으로 일관했다.
1. 노태우 전 대통령님의 체내에 있던 이물질이 무사히 제거되었음을 다행으로 생각하며, 이후 빠른 쾌유를 바랍니다. 2. 지금까지 본 대한한의사협회(이하 협회)는 국민건강을 위해, 이번 사안에 대해 빠르고 정확한 정보공개를 요구하는 공문을 서울대병원 측(4/19)과 노태우 전 대통령님 측(4/21)에게 발송한 바 있습니다. 3. 그러나 서울대병원 측은 지난 4월 29일 누가 언제 어떻게 시술했는지에 대한 핵심내용이 빠진 내용만을 발표함으로써 국민들로 하여금 한의약에 대한 불필요한 불신과 의혹을 증폭시켰으며, 노태우 전 대통령님 측은 공식답변을 하지 않고 계신 상황에서 4월 30일자 모 일간지 기사에는 노태우 전 대통령님 측근의 말을 빌어, 한의사 2명에게 치료받았다는 진술을 했다는 내용이 보도된 상황입니다. 4. 이에 본 협회는, 어떤 경로로 어떤 사람(들)에게 언제 어떻게 시술을 받았는지에 대한 명확한 사실을 5월 4일(수)까지 공개해 주실 것을 다시 한 번 공개적으로 요청합니다. 만약 필요하다면, 노태우 전 대통령님 비서실과 서울대학교 병원, 대한한의사협회의 공동 조사단을 구성하여 철저한 진상조사에 착수할 것을 요청하는 바입니다. 2011년 5월 2일 대한한의사협회
노태우 전 대통령님께 드리는 공개질의서
관련기사
-
"노태우 전 대통령, 침 제거 수술 성공적"
2011-04-28 15:39
- 익명 댓글
- 실명 댓글
- 댓글 0
- 최신순
- 찬성순
- 반대순
오늘의 TOP 10
- 1용산 전자랜드에 창고형약국 허가…700평 규모 2월 오픈
- 2면허 취소된 50대 의사 사망...의료계 파장 확산
- 3새내기 의사 818명 배출…순천향대 신혜원 씨 수석
- 4알지노믹스, 매출 0→71억…기술수출 성과의 존재감
- 5양산부산대병원 약제부 수련 약사, 전문약사시험 전원 합격
- 65억→249억→12억...들쭉날쭉 팍스로비드 처방 시장
- 7한양정밀, 한미약품 EB 주식 전환...지배력 유지·유동성 확보
- 8TPD·AI·비만과 뉴코 설립...유한양행의 차세대 성장전략
- 9올해 한약사 122명 배출…합격률 84.7%
- 10미래 유통 키워드는 'CONNECT'...약국도 벤치마킹을





