한의협, SBS보도 계기로 '김남수씨와 뜸사랑' 맹공
- 이혜경
- 2011-05-12 06:49:00
-
가
- 가
- 가
- 가
- 가
- 가
- 뜸사랑 불법 무면허 행위 막을 호재로 판단하는 듯
- PR
- 전국 지역별 의원·약국 매출&상권&입지를 무료로 검색하세요!!
- 데일리팜맵 바로가기
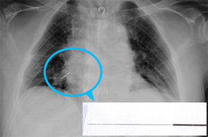
대한한의사협회는 11일 긴급 기자회견을 열고 "10일 SBS TV에 보도된 내용에 따르면 침 시술을 한 사람은 뜸사랑 회장인 김남수씨의 여제자 중 한 명"이라고 밝혔다.
어떤 정황 포착했나?=긴급 기자회견 당시 한의협은 SBS 보도 이외 별다른 증거물은 내놓지 못했다.
장동민 대변인은 "보도를 통해 무자격자에 의한 시술이 명확해졌다"며 "취재진이 여제자의 실명을 밝히고 있진 않지만 정황상 실명까지 알아낸 듯 하다"고 말했다.
또 그동안 전국의 한의원을 대상으로 노 전 대통령에게 침을 시술한 한의사를 수소문했지만, 7~8년 전 침 시술이 아닌 진료를 했던 한의사만 찾을 수 있었다는 것이다.

하지만 이 같은 침을 생산하는 제작사가 3곳이라는 점만 파악했을 뿐, 한의협은 그 이외 상세한 내용은 설명하지 못했다.
장 대변인은 "협회는 수사기관이 아니기 때문에 한계가 있다"고 답변하면서 서울중앙지검과 복지부에 수사를 의뢰하겠다고 했다.
결국 보도 내용을 토대로 한의협은 긴급 회견 이후 서울중앙장방검찰청에 '노 전 대통령의 흉부 우측 주 기관지에서 발견된 침을 시술한 자'를 수사해달라며 진정서를 제출했다. 동시에 보건복지부에도 직권조사를 의뢰했다.
한의계, 뜸사랑과 김남수씨에 왜 민감한가=노 전 대통령 침 사건이 발생하기 이전부터 한의계는 김남수씨가 뜸사랑을 운영하면서 무면허 의료행위를 일삼는 무자격자를 양산하고 있다고 지적해왔다.
급기야 지난해 대한개원한의사협회는 김남수씨를 자격기본법과 학원법 위반으로 서울북부지검에 고발했다.
불법으로 학원을 설립, 260만원의 강의료를 받으며 강의실 및 온라인 강의를 실시하고 있다는 이유에서다. 한의계가 이토록 김남수씨 행보에 반감을 갖는 이유는 무엇일까.
장 대변인은 "침구사 자격을 취득한 김남수씨의 침·뜸 행위를 문제삼는게 아니다"고 선을 그었다.
일제강점기, 한의사 제도가 사라지고 도입된 침구사 제도. 이 당시 침구사 자격을 취득, 김남수씨처럼 현재까지 침·뜸 행위를 하고 있는 사람은 한의협 추산 30여명이다.
침구사제도는 1962년 3월 20일 의료법에서 삭제됐다. 따라서 이후부터 활동하고 있는 침구사는 불법 무자격자인 것이다.
장 대변인은 "김남수씨를 비롯해 침구사 자격이 있는 30여명의 영업을 막는 것은 아니다"라며 "문제는 김남수씨의 뜸사랑으로 인해 불법 무자격자가 마구 양산되고 있는 것"이라고 지적했다.
결국 이를 방치하다가 전 국가 원수까지 생명의 위협을 받게 됐다는 것이 한의계가 우려하는 표면적 이유지만 전문직능에 대한 잠재적 경쟁자가 더 늘어나는 것을 미연에 방지하겠다는 의도도 배제하기 힘들다.
장 대변인은 "무자격자 양산 부터 탈세를 일삼는 범법자를 정부가 방치하면 안된다"며 "이번 기회를 통해 무자격자의 불법의료행위를 바로 잡아야 한다"고 강조했다.
뜸사랑 "법적 대응 검토" 반격=SBS 보도 이후 뜸사랑 또한 "허위 내용으로 우리를 사기꾼 집단으로 매도하고 있다"고 반발했다.
뜸사랑은 11일 "보도가 된 여제자가 누구인지 우리도 알고 있지 못하다"며 "책임 있는 언론이라면 막연히 추측하는 내용이 아닌 구체적인 내용을 적시해야 할 것"이라고 강조했다.
한의협에 대해서도 "뜸사랑을 공개적으로 비난하고 일부는 뜸사랑에서 형사고발 해놓은 사람들"이라고 비난했다.
뜸사랑은 "통상의 침치료로서 침이 기관지로 들어간다는 건 상식적으로 이해 할 수 없는 일"이라며 "지금까지 100만명 이상의 환자에게 침뜸봉사를 하면서 아무런 의료분쟁에 휘말리지 않았던 뜸사랑을 음해하기 위한 불순한 기도"라고 지적했다.
이번 사태에 대해 법적 검토를 거쳐 적극 대응하겠다는 의지도 밝혔다.
하지만 한의협 측은 "이번 보도와 관련해 뜸사랑의 입장을 확인할 필요성이 있는 단체인지 의문"이라며 "없어져야 할 단체"라고 맹공을 퍼부었다.
한의협은 "김남수씨 치료에 관심도 없다"며 "국민들에게 피해가 가지 않도록 철저한 수사를 통해 불법 무자격자를 엄중 처벌해야 한다"고 강조했다.
관련기사
-
"노 전 대통령 침 놓은 한의사 누구?"…한의계 '발칵'
2011-05-02 11:19
- 익명 댓글
- 실명 댓글
- 댓글 0
- 최신순
- 찬성순
- 반대순
오늘의 TOP 10
- 1용산 전자랜드에 창고형약국 허가…700평 규모 2월 오픈
- 2면허 취소된 50대 의사 사망...의료계 파장 확산
- 3새내기 의사 818명 배출…순천향대 신혜원 씨 수석
- 4알지노믹스, 매출 0→71억…기술수출 성과의 존재감
- 5양산부산대병원, 전문약사 시험 응시 약제부 수련 약사 전원 합격
- 65억→249억→12억...들쭉날쭉 팍스로비드 처방 시장
- 7한양정밀, 한미약품 EB 주식 전환...지배력 유지·유동성 확보
- 8TPD·AI·비만과 뉴코 설립...유한양행의 차세대 성장전략
- 9"무고한 면대 의혹조사" 위드팜, 공단·복지부 형사 고소
- 10올해 한약사 122명 배출…합격률 84.7%





